The Cardiac Page

-------------------

History

-------------------

In June of 1996 I had a mild heart attack. The family has had a history of cardiac problems, and I was overweight, had basically given up all exercise, and was smoking the occasional cigar. In the spring of 1996 I had asked my doctor, Walter Caskey, to change my blood pressure medication, and soon he did I began to get angina pain during even moderate physical activity (like walking to the train station after work.).

I reported this to my doctor, and I was handed a prescription for nitroglycerine tablets, and was set up with an appointment for a stress test. Alas, a few days before the appointment was scheduled, I was out driving, got a flat tire, changed it, and felt lousy enough immediately afterwards to check into the hospital.

It took several hours for the hospital staff to determine that I had actually suffered a heart attack. The damage was very slight. I was soon stabilized, and an angiogram eventually showed a classic, straight blockage in the left anterior descending (l.a.t.) cardiac artery.

A successful balloon angioplasty reopened the artery, and I was released from the hospital to began cardiac rehabilitation. Rehab included regular exercise, and a drastic change in my diet.

Rehab went well but, unfortunately, as it happens about a third of the time, the artery shut down again after about three months, and so in October of 1996 I underwent another angioplasty, this time with leaving a stent in place. Here are the before and after stills from that procedure:

NEMC-5


NEMC-14


After the stent was placed I re-started my rehab under the watchful eyes of Fern Cooper, RN, at the Faulker Hospital. Ultimately I lost close to 60 pounds (starting at 230, although I gained back about half of that.) I was out of rehab, but I continued a low-fat diet, maintained a pharmacological program of beta- and calcium-channel-blockers and I exercised rigorously and regularly.

My cholesterol had never been very high, but my 'good cholesterol,' HDL remained pretty low. A couple of glasses of wine in the evening helped raise the HDL, and my spirits. By late 1999, however, a statin, Lescol, was added to my pharmacological program to work the cholesterol even lower.

I seemed stable enough to my doctors and friends, but in July of 2000, I felt renewed angina pain, and after another angiogram a new block was discovered, also in the l.a.t., but below the original stent location. The angiogram did indicate some good news: it showed that the original stent was still in good shape. Furthermore, all the blood tests indicated that I had not suffered another heart attack. So I was sent off to Brigham and Women's for another angioplasty and stent.

blocked 2000

blocked 2000

All the doctors seemed to think that this episode was just a little adjustment of the plumbing, and that generally I was in good shape. My cardiologist suggested that the block could be an example of 'junction stenosis,' or a block that forms downstream from a stent near the next arterial junction. My original stent, a Palmaz-Schatz from Johnson & Johnson™ is rather inflexible, and apparently can create eddies downstream which can irritate the artery lining, inviting another plaque to form. Sounds plausible, but who really can say? In any event, the new stent is from AVE™ (Arterial Vascular Engineering) and is more flexible.

-------------------

Update 2014

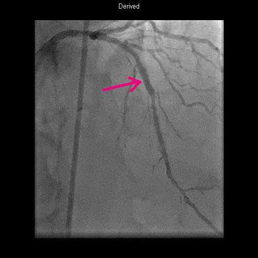
I 'maintained' for almost 15 years after that second stent, keeping up regular exercise, my doctors occasionally adjusting my blood pressure and cholesterol medications as I slowly gained weight and age. Finally, in 2014, after describing some minor discomforts I had been experiencing while walking, my doctor decided that I should have a stress test. The stress test was 'positive' (not a good thing) and I was immediately referred to a new cardiologist, who said that the stress test suggested a new blockage in a new area of my heart, and he scheduled an immediate angiogram.

The angiogram was an extremely unpleasant procedure this time around. (Maybe not enough Valium?) The newer equipment blocked my view of the screen, for one thing, and a 'pressure test' using a sensor to read arterial pressure above and below the potential blockage and using drugs to simulate exercise, was very painful. But, all the the testing revealed that my original stent from 1996 was now about 75% blocked. and in fact that there was also a new blockage, lower in the left anterior descending, but it was not considered significant enough to treat surgically.

2014 angiogram

The upper arrow points to the blockage in old stent location, and the lower arrow shows the less significant blockage lower in the artery. A new medically coated stent (from Boston Scientific, a 'Promus Premiere'™,) was placed inside the old stent.

To be successful, coated stents require a year of blood-thinning medication, which complements the medication on the stent. The conundrum for my case was the blood-thinner. Normally it's Plavix™, but that's in the same family as Ticlid, which been given to me after my second stent in 2000, but had given me a full body rash. Back then, I simply stopped the Ticlid, because the blood-thinner was not essential. Now it is. So I have been given Ticagrelor (Britlinta)™ which is the latest and greatest, and consequently pretty expensive. It also has the occasional side effect of causing shortness of breath, which seems to be happening to me, although the effect is diminishing.

artery open again

There is the artery wide open again (except for that pesky 'minor' blockage near the bottom.) A new stress test will follow to make sure everything is OK, and then another stint in cardiac rehab, to get back into shape.

Update to the Update

The shortness of breath, along with a 'tight' feeling in my chest, was in fact not diminishing, and I discovered that these symptoms occur over 13% of the time with Ticagrelor™! So after I complained to my doctors I was re-admitted to the emergency room for what was supposed to be a quick re-evaluation. I was actually there for 36 hours, but in the end i finally convinced my doctors to dump the Ticagrelor™. Now I'm on Plavix™, no rash has developed, and I'm back on track, I hope.

-------------------

Physicians

-------------------

My former GP was Walter Caskey, and after my heart attack he set me up with Dr. Gary Brockington as my cardiologist. Dr. Brockington's former partner, Dr. Greenwald, performed my first angiogram, and happened to be the physician at a stress test in early 2000, which I passed rather easily.

Dr. Caskey retired soon after my initial heart attack, and my initial treatment was supervised by Dr. Linda Lauretti, who eventually became my new GP.

All of the Doctors named above were associated with Faulker Hospital, my 'neighborhood' hospital in Roslindale MA. Faulker is a good hospital, but not equipped to do open heart surgery. So while they can perform angiograms and have a cardiac intensive care unit, by rule they cannot perform actual angioplasty. My first procedures in 1996 were performed at New England Medical Center, which was where Faulkner normally referred cardiac patients. My first stent was placed by Dr. Lawrence Conway.

Later, NEMC, which was virtually bankrupt at the time of my hospitalizations, has merged with a for-profit hospital corporation, and Faulker was merged with several large Boston-area teaching hospitals, including Brigham and Women's Hospital. Dr. Andrew Selwyn, who performed the 2000 angiogram at Faulkner, is Director of the Cardiac Catheterization Laboratory at Brigham, and Dr. James Kirshenbaum, who placed the stent, is Co-Director, Clinical Cardiology. Dr. Kirshenbaum was also responsible for finally getting me the images of the 2000 procedures.

After I retired in 2009 and eventually became eligible for Medicare, I had to leave Dr. Lauretti since her medical group no longer accepted my insurance. Dr. Andrea Kronman became my Primary Care Physician in 2013, coordinating most of my medical care through the Harvard Vanguard group. My cardiologist in 2014 is Dr. Sanjay Shrivastava, the physician who performed the actual angiogram and stent placement was Dr. Mandeep Dhadly, with all of the procedures taking place at Beth Israel Deaconess Medical Center, the preferred 'acute care' hospital of Harvard Vanguard. 2014 cardiac rehab, however, will be at Faulkner Hospital (now called Brigham and Women's Faulkner Hospital) just as it was in 1996.

-------------------

Images

-------------------

You have to be conscious during an angiogram (for various reasons,) and in 1996 I was pumped full of Valium™ anyway, so I was fascinated by what I saw, and decided I wanted a copy of the video tape. Dr Greenwald said he could make one, but he'd have to convert the format, etc. After several months of asking and several different excuses ('the duplicating machine is broken') I gave up on that.

At the time my first stent was placed at NEMC, however, I asked again for tapes, pictures, anything I could get my hands on. Dr. Rajendian (I hope I've spelled his name correctly) provided a couple of black and white glossies, reproduced above. I later colorized one of the images and made a tee-shirt out of it.

When I was admitted to Brigham and Women's in July 2000, Dr. Resnick, who did the initial screening, promised me a CD of images from my procedures. The CD was a long time coming, and I only got it through the good graces of Dr. Kirshenbaum, who warned me it might not be as useful as I thought. In fact, it is in a proprietary format called DICOM 3 (Digital Imaging and Communication in Medicine.) As a CD, it's great. There are ten video sequences, and a custom executable which can select and play a sequence, adjust speed, contrast, etc. Unfortunately, it's not portable at all, and the interface program has no facility for exporting or printing. So to get images I had to take screen shots, and to get videos, I had to play the images frame by frame, take a screen-shot of every frame, and then crop and re-animate them. Nevertheless, I was glad to have the CD for my records.

in 2014 the imaging is still DICOM3, but the packaging of the CD and the interface are much better.

I've taken some of the best sequences from the CDs. You can see the beating heart with blocked artery, sequences showing the stents actually being placed, the beating heart with the stent in place and restored circulation. The animated GIF's are rather large, so they may take a while to load. Click the links below to see them.


Blocked Artery, July 2000

Stent Placement, July 2000

Stent Inflation, July 2000

Unblocked Artery, July 2000

Blocked Artery, September 2014

Stent Placement, September 2014

Stent Inflation, September 2014

Unblocked Artery, September 2014


This is FABbNet!

-------------------

This document maintained by rgm at fabbnet.net.
Material Copyright © 2000-2014.